Claro Oscuro

En Segunda Lectura Diagnóstica, utilizamos tecnología de punta y radiologos altamente especializados garantizando así resultados precisos y confiables.

Contáctanos

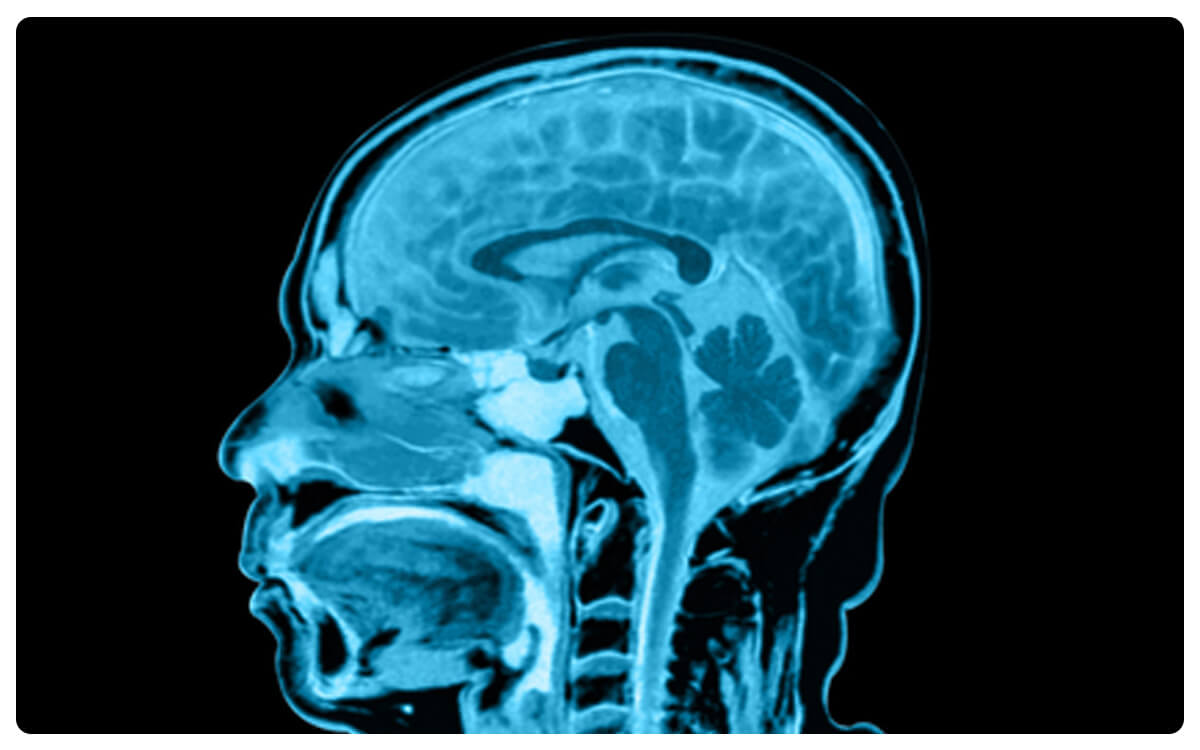
La Angio Tomografía Craneal, una técnica radiológica avanzada, emerge como una herramienta esencial en la exploración detallada y no invasiva de las estructuras vasculares en el cráneo y el cerebro. A través de la tomografía computarizada y la administración de un medio de contraste intravenoso, esta técnica permite la generación de imágenes tridimensionales de alta resolución que revelan la arquitectura vascular intracraneal y posibles anomalías vasculares.

La Angio Tomografía Craneal desempeña un papel crucial en el diagnóstico y seguimiento de enfermedades vasculares cerebrales, como aneurismas, malformaciones arteriovenosas y estenosis, brindando información valiosa para la detección temprana de complicaciones y la toma de decisiones clínicas informadas en el cuidado de la salud cerebral.


INDICACIONES

Acudir con receta del médico tratante.

Al realizar su cita recibirá instrucciones sobre como acudir al estudio.

blog-details-image