Claro Oscuro

En Segunda Lectura Diagnóstica, utilizamos tecnología de punta y radiologos altamente especializados garantizando así resultados precisos y confiables.

Contáctanos

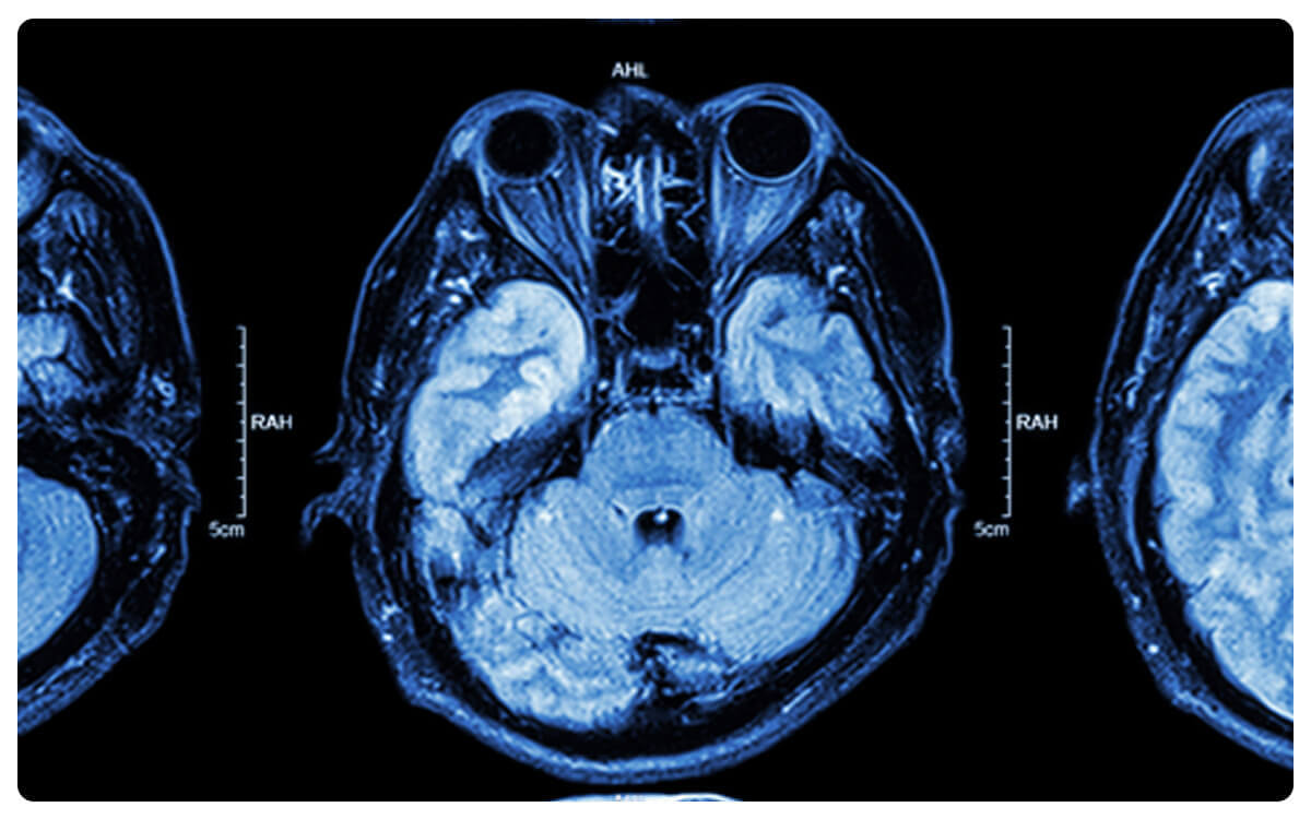
La Tomografía Multicorte (MC) de órbita Simple y Contrastada, una técnica de imagen médica avanzada, se posiciona como una herramienta esencial en la exploración detallada y precisa de las estructuras orbitales del ojo.

A través de la tomografía computarizada y la administración de un medio de contraste intravenoso, esta técnica permite la obtención de imágenes tridimensionales de alta resolución que revelan la anatomía ocular y posibles afecciones en las orbitas.

La Tomografía MC de órbita Simple y Contrastada desempeña un papel crucial en el diagnóstico y seguimiento de enfermedades oculares y periorbítales, proporcionando información valiosa para la detección temprana de trastornos y la toma de decisiones clínicas informadas en el cuidado de la salud ocular.


INDICACIONES

Acudir con receta del médico tratante.

Envío de estudio de creatinina en rangos normales, con vigencia de 1 a 2 meses. (Enviar al menos 24 antes del estudio).

Requiere un mínimo de 4 horas de ayuno.

blog-details-image